Blue waffle là một khái niệm từng gây hoang mang vì nhiều thông tin cho rằng đây là bệnh lây qua đường tình dục khiến vùng kín phụ nữ biến dạng và chuyển sang màu xanh. Thực tế, “Blue waffle” chỉ là hình ảnh mô tả sai lệch, không đại diện cho một bệnh lý cụ thể mà là cách gọi chung cho một số bệnh lây truyền qua đường tình dục.
Blue waffle là gì?
Blue waffle (tạm dịch “bánh quế xanh”) được lan truyền như một hội chứng khiến cơ quan sinh dục nữ đổi màu và viêm nặng. Tuy nhiên, khoa học đã khẳng định đây chỉ là tin đồn. Không có bệnh nào khiến vùng kín chuyển sang màu xanh như mô tả.
Thuật ngữ này thực chất dùng để ám chỉ những bệnh lây qua đường tình dục khi phụ nữ quan hệ không an toàn hoặc vệ sinh vùng kín chưa đúng cách. Vì vậy, Blue waffle không phải bệnh thật mà chỉ phản ánh sự thiếu hiểu biết về các bệnh lý sinh dục thường gặp.

Mặc dù không tồn tại, thuật ngữ này vẫn cho thấy nguy cơ mắc các bệnh lây truyền qua đường tình dục nếu quan hệ quá thường xuyên, không bảo vệ hoặc vệ sinh kém trước và sau quan hệ.
Blue waffle cảnh báo những bệnh gì?
Dù không có bệnh nào giống hình ảnh “bánh quế xanh”, một số bệnh lây qua đường tình dục lại có triệu chứng tương tự hình ảnh được gán cho Blue waffle. Đây đều là những bệnh phổ biến, có thể gặp ở bất cứ ai.
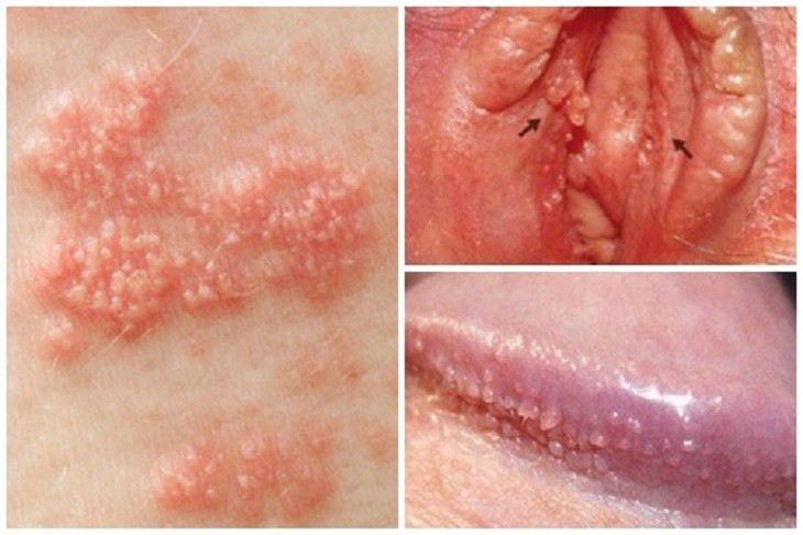
Bệnh sùi mào gà
Sùi mào gà do virus HPV gây ra, có thời gian ủ bệnh từ 2 đến 9 tháng. Sau khi phát bệnh, bề mặt da vùng kín xuất hiện những nốt sùi mềm, không đau, không ngứa. Khi nặng hơn, các nốt mọc thành cụm như mào gà, gây đau rát, chảy dịch và dễ lan rộng.

Mụn rộp sinh dục
Mụn rộp sinh dục do virus HSV gây nên. Triệu chứng gồm nổi mụn nước, lở loét, đau rát ở cơ quan sinh dục. Người bệnh có thể sốt, đau cơ và sưng hạch bạch huyết. Bệnh lan truyền khi quan hệ, qua vết thương hở hoặc dùng chung đồ cá nhân.
Bong bóng nước có thể xuất hiện ở âm đạo, cổ tử cung, mông (ở nữ) hoặc niệu đạo, dương vật và bìu (ở nam).
Bệnh lậu
Bệnh lậu có tốc độ lây nhiễm nhanh qua đường tình dục. Nữ giới có thể gặp tình trạng tiểu buốt, tiểu rắt, tiết dịch mủ từ cổ tử cung hoặc niệu đạo. Hình ảnh lâm sàng đôi khi giống với mô tả của Blue waffle.
Bệnh giang mai
Giang mai gây tổn thương nghiêm trọng ở bộ phận sinh dục. Triệu chứng gồm loét, nổi hạch, phát ban đỏ toàn thân. Xoắn khuẩn giang mai có thể xâm nhập vào da, mắt và niêm mạc.
Viêm âm đạo
Viêm âm đạo do nấm men, vi khuẩn hay trùng roi. Bệnh gây ngứa rát, đau, tiết dịch bất thường và mùi hôi khó chịu. Tình trạng này đôi khi bị nhầm lẫn với hình ảnh “Blue waffle”.

Blue waffle có nguy hiểm không?
Dù không tồn tại dưới dạng bệnh thực sự, các bệnh lây qua đường tình dục liên quan đến hình ảnh Blue waffle lại cực kỳ nguy hiểm. Chúng có thể gây:
- Viêm nhiễm cơ quan sinh dục, ảnh hưởng khả năng sinh sản.
- Lây lan sang bạn tình và gây biến chứng nặng nếu không điều trị kịp thời.
- Khiến người bệnh ngại ngùng, tự ti và chậm trễ thăm khám.
- Ảnh hưởng nghiêm trọng đến đời sống vợ chồng và chất lượng cuộc sống.
Vì vậy, thay vì lo lắng trước những hình ảnh sai lệch về Blue waffle, điều quan trọng là chủ động phòng tránh bệnh lây qua đường tình dục bằng cách quan hệ an toàn, sử dụng biện pháp bảo hộ và vệ sinh sạch sẽ vùng kín.

